Blanqueamiento dental

El blanqueamiento dental es un tratamiento estético de cosmética dental que logra reducir varios tonos al color original de sus dientes, dejándolos más blancos y brillantes.

Este tratamiento ayuda a eliminar las manchas ocasionadas a través de los años por diferentes factores. El blanqueamiento dental es una de las técnicas más utilizadas actualmente en odontología y estética dental, obteniéndose resultados desde la primera sesión.

Contamos con tecnología para realizar su tratamiento en una hora.

¿Qué es y en que consiste el blanqueamiento dental?

El blanqueamiento dental es un proceso por el cual las manchas del esmalte y de la dentina son aclaradas. El blanqueamiento dental es un tratamiento que su dentista determina y realiza después de un examen del esmalte, encías y tejidos blandos, restauraciones y estado de salud. El resultado es una  estética favorable a través de la disminución de tonos de color del diente.

Es importante hacer notar que los tratamientos comerciales a base de pulimentos desgastan el esmalte dental; los que se venden para autoaplicación(aplicación en su hogar) contienen una dosis mínima de agente blanqueador permitida para autoconsumo, por lo que según comentarios de personas que han utilizado estos productos, es necesario aplicar varios de estos tratamientos para lograr resultados. Si la persona tiene obturaciones estéticas, estas se verán de diferente color, por lo que no es muy recomendable el uso de estos productos  sin la consulta previa a su dentista.

Indefinidamente  si retoca los resultados una o dos veces al año. El retoque semestral se puede realizar en el hogar, siempre con indicaciones del odontólogo, y el anual se realiza en el consultorio. Todo dependiendo del caso. Si no se retocan, los dientes comenzarán a mancharse con las mismas cosas que causaron las coloraciones al principio.

Por supuesto, siempre debe ir acompañado por una correcta higiene dental para evitar la pigmentación del diente por agentes externos.

Sí. Estudios clínicos han demostrado que los productos químicos utilizados, ya sea peróxido de carbamida o peróxido de hidrógeno, son seguros para dientes y encías , siempre bajo la supervisión del odontólogo.

Para la mayoría de los pacientes no hay. Sin embargo, algunos pacientes pueden experimentar sensibilidad temporal (sensibilidad al frío o calor). Esta sensibilidad va disminuyendo despúes el tratamiento, y con la aplicación de productos con flúor o bien algún gel o pasta dental desensibilizante recetados por el odontólogo. Para evitar sensibilidad abstenerse de consumir bebidas carbonatadas y cítricos.

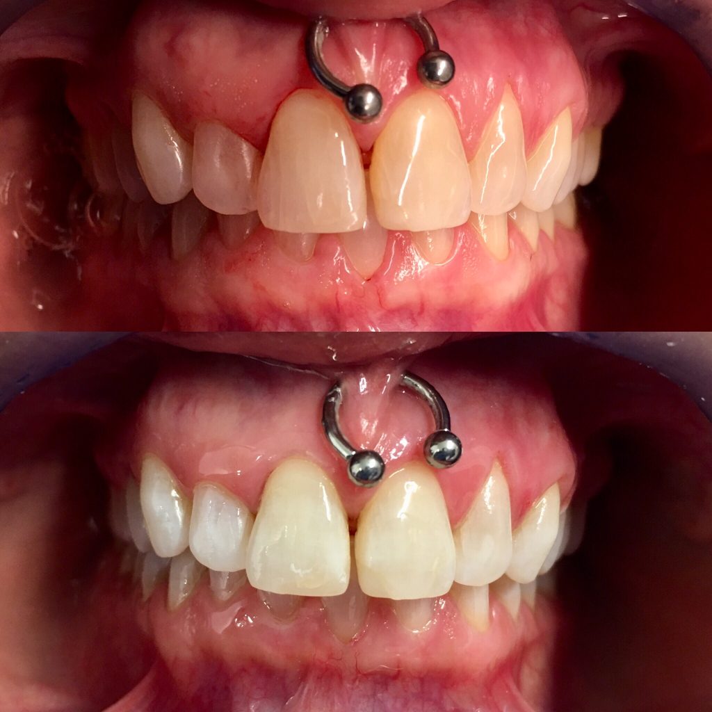
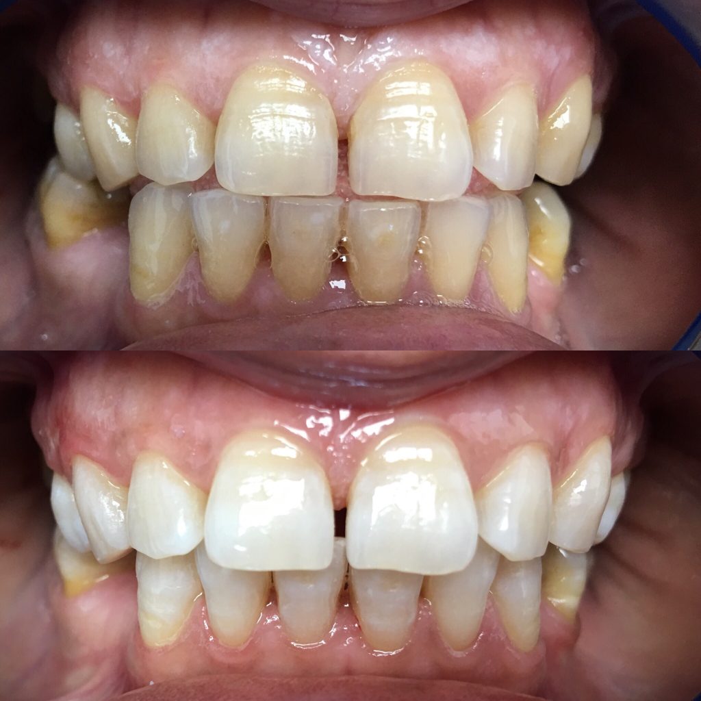
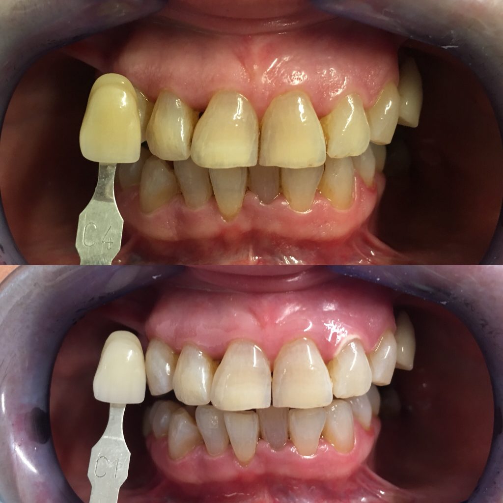
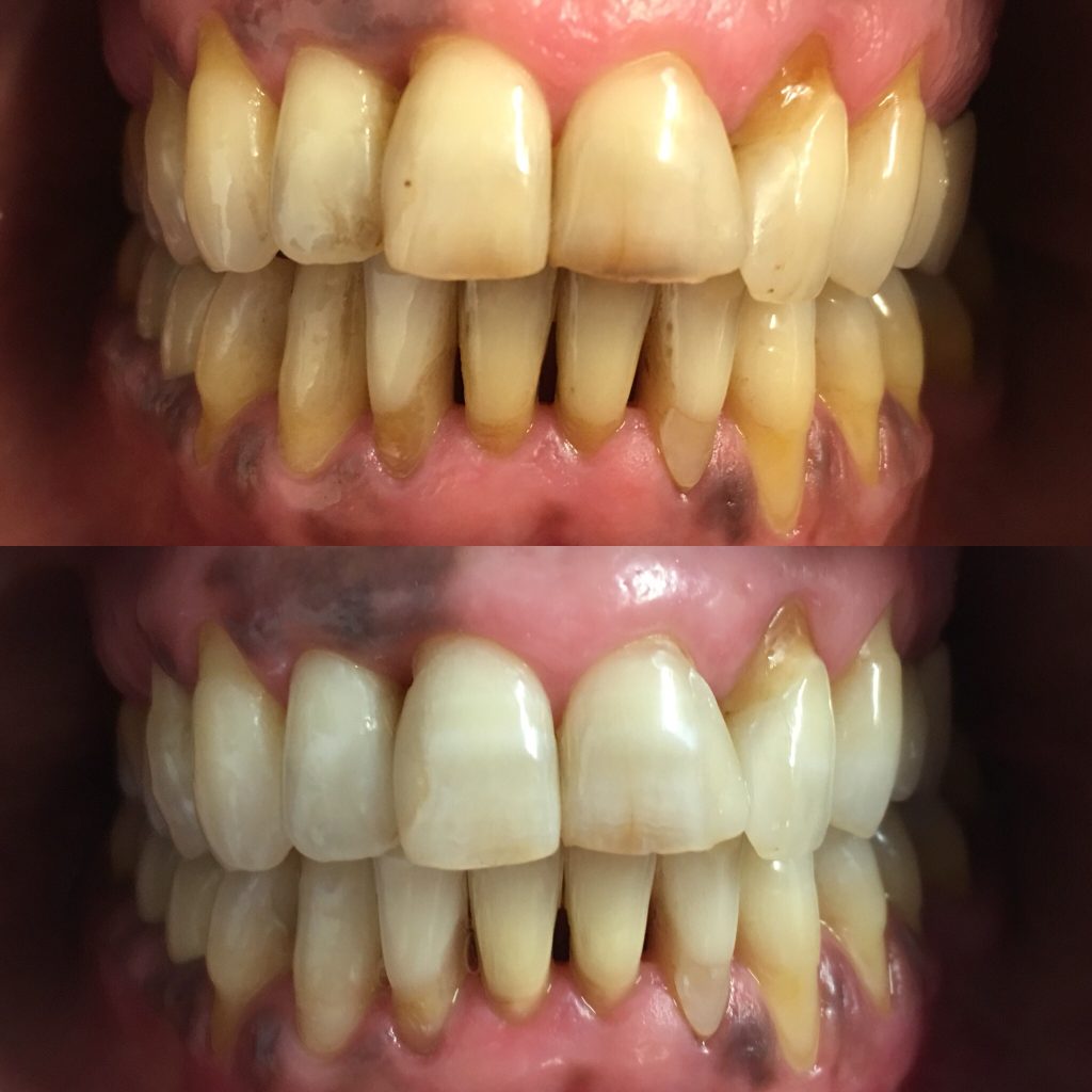
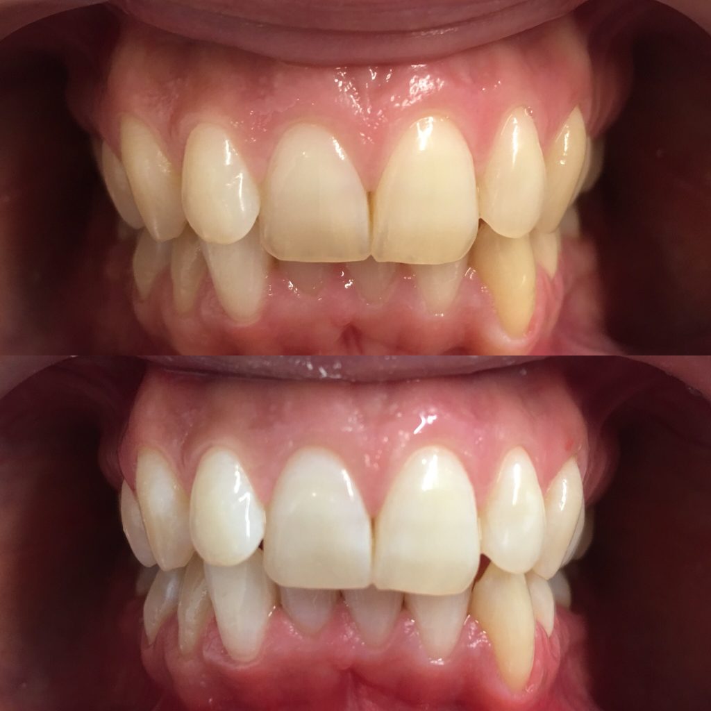
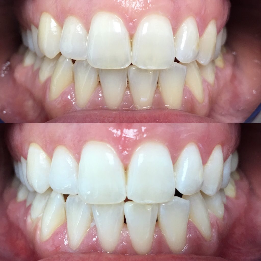
A continuación podrás ver algunos de los casos realizados en nuestra clínica utilizando nuestro sistema de blanqueamiento. Iremos actualizando con mas casos clínicos.

¡SI TU TAMBIEN QUIERES EXPERIMENTAR UN CAMBIO ASÍ NO DUDES EN CONTACTAR CON NOSOTROS!

En Ezedent Smile Designers somos especialistas en blanqueamiento dental en León.