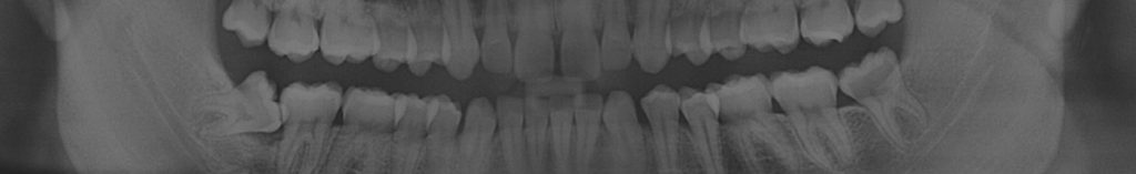
Ortopantomografía

Una ortopantomografía es una radiografía panorámica que muestra la totalidad de las estructuras orales y que se realiza en un aparato específico, denominado ortopantomógrafo. Esta técnica, realizada en Ezedent Smile Designers, permite el estudio simultáneo y comparativo de ambas articulaciones, las ramas ascendentes, los senos maxilares y la totalidad de las arcadas alvéolo dentales.

La ortopantomografía está indicada en una gran cantidad de situaciones en patología oral y maxilofacial. Es una herramienta de diagnóstico de primer orden.